こんにちは。熊本県熊本市にある関歯科医院です。
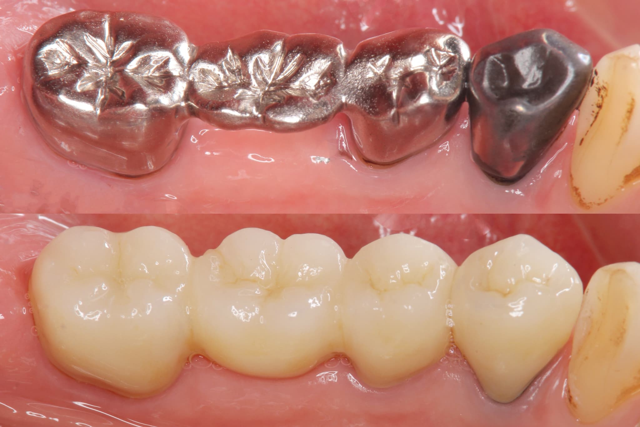
笑ったときや話しているときにちらっと見える銀歯が気になって、白くしたいと考えたことはありませんか。最近では、審美的な理由から銀歯を白い素材に交換する方が増えています。
銀歯は保険適用で治療できるメリットがありますが、見た目が目立つことや金属アレルギーのリスクがあることなど、いくつかの課題もあります。
今回は、銀歯とは何か、銀歯を白くしたいときはどのような素材が用いられるか解説します。銀歯を白い素材に交換するメリットや注意点についても解説しますので、ぜひ参考にしてください。
目次
銀歯とは

銀歯とは、虫歯治療などで歯を削ったあとに詰めたり被せたりする際に使われる金属製の歯科素材を指します。主に使われる金属は、銀やパラジウム、金などを含む合金で、日本では金銀パラジウム合金と呼ばれるものが広く使用されています。
保険が適用されるため、治療費を抑えられるという大きなメリットがあります。
一方で、金属のため、目立ちやすいという点はデメリットです。特に口を開けたときや笑ったときに、銀色の詰め物や被せ物が見えると、気にする人も少なくありません。また、経年によって金属の変色や、歯ぐきの黒ずみが生じることもあります。
銀歯を白くしたい場合に用いられる素材

銀歯を白くしたいと考えたとき、選べる素材にはいくつかの種類があります。それぞれの特徴を理解することで、自分に合った素材を選びやすくなります。
コンポジットレジン
コンポジットレジンは、白いプラスチック素材で、前歯の虫歯治療などによく使用されます。自然な白さを再現できることが魅力です。また、保険が適用されるため、費用が安い点もメリットといえます。
ただし、柔らかい素材のため、噛む力が強くかかる奥歯などには不向きなことがあります。また、経年による変色や摩耗が起こることもあり、長期的な美しさや耐久性にはやや限界がある点も把握しておく必要があります。
オールセラミック
オールセラミックは、すべてがセラミック(陶器)でできている修復素材で、見た目の美しさを重視する方に非常に人気があります。透明感と自然な白さがあり、天然の歯に近い仕上がりが得られるため、特に前歯など目立つ部位に使用されることが多いです。
金属を一切使用していないため、金属アレルギーの心配がなく、歯ぐきの黒ずみ(メタルタトゥー)のリスクもありません。また、表面が滑らかで汚れが付きにくく、長期間にわたり美しさを保ちやすいという利点もあります。
ただし、保険が適用されないため、費用は高額になります。また、非常に硬い素材ではありますが、強い衝撃が加わると割れる可能性がある点もデメリットです。審美性を最優先したい方にとっては、非常に有力な選択肢といえるでしょう。
ジルコニア
ジルコニアは、非常に硬くて丈夫なセラミック素材で、人工ダイヤモンドとも呼ばれるほど高い強度を持っています。見た目も自然で、白く美しい仕上がりになるため、銀歯を目立たない白い歯にしたい方にとって、信頼性の高い選択肢の一つです。
特に奥歯などの噛む力が強くかかる部分にジルコニアが選ばれる傾向があります。割れにくく、長期間の使用にも耐えられる点は大きなメリットです。また、金属を含まないため、金属アレルギーのリスクがなく、歯ぐきの変色が起こらないのも特徴です。
ただし、オールセラミックに比べて透明感はやや劣るため、前歯など極めて自然な見た目が求められる部位では慎重に検討する必要があります。また、自費診療となるため費用が高額になるケースが多く、事前によく確認することが大切です。
ハイブリッドセラミック
ハイブリッドセラミックは、セラミックとレジン(歯科用樹脂)を混ぜ合わせた素材で、セラミックの美しさとレジンの柔軟性を併せ持つのが特徴です。白く自然な見た目を再現できるため、銀歯を目立たない白い歯にしたいと考えている方にとって、選びやすい素材の一つです。
オールセラミックやジルコニアに比べて費用を抑えられるため、できるだけ安く白い歯を手に入れたい方に向いているかもしれません。
一方で、レジンが含まれているため、経年による変色や摩耗が起こりやすいというデメリットもあります。長期間にわたって白さを保ちたい場合は、定期的にメンテナンスが必要になるでしょう。
銀歯を白い素材に交換するメリット

銀歯を白い素材に替えることで得られるのは、見た目の美しさだけではありません。口元の印象を良くするだけでなく、健康や機能面でもさまざまなメリットがあります。ここでは、代表的な4つの利点をご紹介します。
口を開けても目立ちにくい
白い素材で作られた詰め物や被せ物は、天然の歯の色に近いため、口を開けたときに目立ちにくいのが大きな魅力です。笑ったときや話しているときに銀歯が見えることに抵抗を感じていた方でも、白い歯なら自然な印象を与えることができます。
特に人と接する機会が多い方や、営業職・接客業などの職種では、第一印象として口元の清潔感は重要です。銀歯を白くすることで、見た目のコンプレックスを解消し、笑顔に自信が持てるようになる人も少なくありません。
金属アレルギーのリスクがない
銀歯に使われている金属には、パラジウムやニッケルなど、人によってはアレルギー反応を引き起こす可能性のある成分が含まれています。お口の中の金属が原因で、皮膚のかゆみやかぶれといった全身症状が現れることもあるでしょう。
白いセラミック系の素材は金属を一切含んでいないため、こうした金属アレルギーの症状が現れる心配がありません。過去に金属アレルギーを経験した方はもちろん、将来的なリスクを避けたいと考える方にとっても、白い素材への交換は安心できる選択肢といえます。
変色しにくい
オールセラミックやジルコニアなどのセラミック素材は、変色しにくく、長期間にわたってきれいな状態を保てるのが特長です。お口の中の美しさを長くキープしたい方にとっては大きなメリットといえるでしょう。
虫歯が再発しにくい
銀歯と天然歯との間には、わずかな隙間ができやすく、そこに汚れや細菌が入り込むことで虫歯が再発することがあります。また、時間が経つと銀歯の接着力が弱まり、さらに隙間が広がるケースも見られます。
これに対して、セラミックの詰め物・被せ物は歯科技工士の手で精密に作製されます。天然歯との密着性が高く、隙間ができにくいため、虫歯が再発しにくいのです。また、表面が滑らかで汚れがつきにくいため、毎日の歯磨きでも清潔に保ちやすいのもポイントです。
銀歯を白い素材に交換するときの注意点

銀歯を白くする治療には多くのメリットがありますが、同時にいくつかの注意点も存在します。治療を検討する際は、以下の点をしっかり理解しておきましょう。
費用が高い(自費診療の場合)
銀歯は健康保険の対象となるため、安価に治療ができます。
しかし、オールセラミックやジルコニアなどのセラミック素材は保険が適用されません。そのため、費用が高くなる点に注意が必要です。素材の種類や治療する部位によって金額が異なるため、事前に見積もりを確認しましょう。
強い衝撃が加わると割れることがある
セラミック系の白い素材は見た目が美しく、耐久性も高いですが、割れることがあります。特に硬いものを噛んだときや、強い衝撃が加わったときには、ヒビが入ったり欠けたりすることがあるのです。
歯ぎしりや食いしばりの癖がある人は、就寝時にナイトガードと呼ばれる専用のマウスピースを使うなどの予防策が必要になることもあります。また、噛む力が特に強い奥歯には、強度に優れたジルコニアなどの素材を選ぶことで、破損のリスクを減らすことができます。
天然歯を削る可能性がある
銀歯を白い素材に交換する際には、詰め物や被せ物の形状に合わせて、ある程度の歯を削る必要があります。特に被せ物での治療を行う場合は、天然の歯を削る量が多くなることもあります。
歯を削る処置は詰め物・被せ物を装着するために必要な処置ではありますが、一度削った歯は元に戻らないため、慎重に判断する必要があります。
まとめ

銀歯を白くしたいと考える方は、美しい見た目だけでなく、口元に自信を持ちたいという思いをお持ちではないでしょうか。最近では、オールセラミックやジルコニアなどの自然な色合いの素材が充実しており、自分に合った方法で銀歯を目立たなくすることが可能になっています。
見た目が良くなるだけでなく、金属アレルギーの心配がなくなる、変色しにくい、虫歯の再発を防ぎやすいなどメリットもあります。
一方で、高額な費用がかかる、歯を削る必要があるなど、注意すべき点もあります。
まずは信頼できる歯科医院で相談し、自分の希望や口の中の状態に合った素材を選ぶことが大切です。銀歯の見た目が気になる方は、この機会に白い歯への交換を検討してみてはいかがでしょうか。
審美歯科での治療を検討されている方は、熊本県熊本市にある関歯科医院にお気軽にご相談ください。
当院では、インプラント治療を中心に虫歯・歯周病治療、矯正治療など、さまざまな診療を行っています。ホームページはこちら、WEB予約もお受けしております。






お電話